(703) 962-4119
Services
Gallery
CALL
Menu
About
Our Practice
Meet Dr. Fadi Hasan
Our Technology
Dental Implants
Full Mouth Dental Implants
Teeth In A Day
Immediate Dental Implants
Peri-Implantitis Treatment
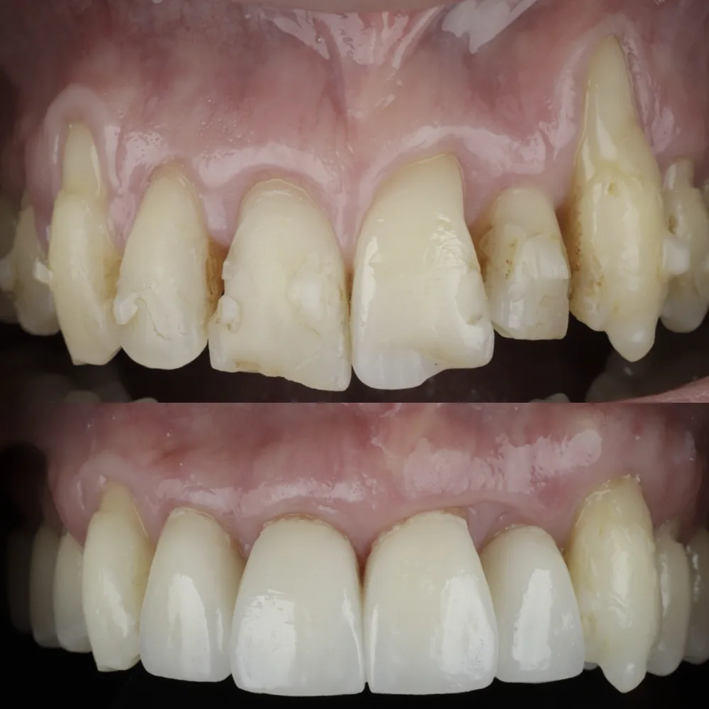
Before & Afters
View All Services
Periodontics
Crown Lengthening
Gum Recession Treatment
Gummy Smile Treatment
Impacted Canine Exposure
Pocket Reduction Therapy
Other
Emergency Dentistry
Orthodontics
Sedation Dentistry
Tooth Extraction
Resources
Patient Registration
Pay Online
Reviews
Video Library
Insurance & Financing
Blog
Referring Doctors
Contact
*Individual results may vary